Services

Treatments We offer

Complete Denture

Complete dentures can be either "conventional" or "immediate." Made after the teeth have been removed and the gum tissue has begun to heal, a conventional denture is ready for placement in the mouth about eight to 12 weeks after the teeth have been removed

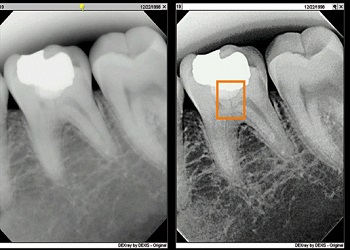
Root Canal Treatment

Root canal treatment is the removal of the tooth's pulp, a small, thread-like tissue in the center of the tooth. Once the damaged, diseased or dead pulp is removed, the remaining space is cleaned, shaped and filled. This procedure seals off the root canal.

Bridge Work

A traditional bridge is made by creating a crown for the teeth on either side of the space and placing a false tooth or teeth between the crowns. The crowns, sometimes called caps, can be supported by natural teeth or by implants. The false tooth or teeth are attached to the crowns and fill the empty space.


Crown Capping

A dental crown, sometimes called a cap, completely covers your damaged tooth. It is cemented into place and offers a strong, solid, good-looking replacement for a natural tooth.

Dental Implants

A dental implant is like an artificial tooth root used in dentistry to support crowns and bridges that replace a tooth or group of teeth.

Orthodontics

The dental specialty dealing with correction of irregularities of the teeth, such as malocclusion, often by the use of braces.


Ultra Sound Scaling

During ultrasonic dental cleaning, the dentist uses an instrument called an ultrasonic scaler, or CavitronĀ®. The Cavitron distributes ultrasonic vibrations to literally blast dental tartar, or dental calculus, off of your teeth! As the ultrasonic scaler vibrates, it produces sound waves to break apart stubborn calculus. Water flows out of the tip's end to wash away debris and keep the scaler from overheating.

Teeth whitening

Teeth Whitening can make your smile look more attractive and younger. Teeth tend to get discolored due to aging, by medications and chemicals or stained by beverages such as coffee and certain types of wine. However it is important to know that Whitening will not correct certain forms of discolouration.

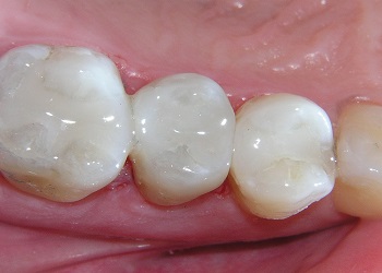
Tooth Coloured Filling

A filling replaces part of a tooth that has been lost because of decay or accidental damage. All fillings are tooth coloured , carefully selected to match the original shade and shape of the tooth.


Flexible Removable Denture

Flexible partial dentures such as those made by ValplastĀ® are custom-fabricated in a dental laboratory. They are prescription-only products that are placed by a licensed dentist after an impression of your mouth has been taken. Most flexible partial dentures involve very simple preparation because your natural teeth don't need to be altered in any way.

Digital X-ray

It shows quality of the bone, teeth and lesions. The best part of this x- ray is that it is very comfortable to shoot immediate and multiple x rays during root canal treatment, implant insertion and prosthetic procedures so that we can perform imaging oriented procedures more accurately.

Impaction Surgery

An impacted tooth is one that fails to erupt into the dental arch within the expected developmental window. Because impacted teeth do not erupt, they are retained throughout the individual's lifetime unless extracted or exposed surgically.

2015 Dental World. All rights reserved | Design by Saam Soft